Van’da diş implant vidası ciğerine kaçan hasta ölümden döndü
Van’ın İpekyolu ilçesinde ikamet eden F.T. isimli hasta, dış merkezli bir diş kliniğinde implant tedavisi gördüğü sırada, implant vidası yanlışlıkla soluk borusuna kaçtı. Nefes borusuna kaçan vida nedeniyle hasta, ileri tetkik ve tedavi amacıyla Van Eğitim ve Araştırma Hastanesi’ne sevk edildi.

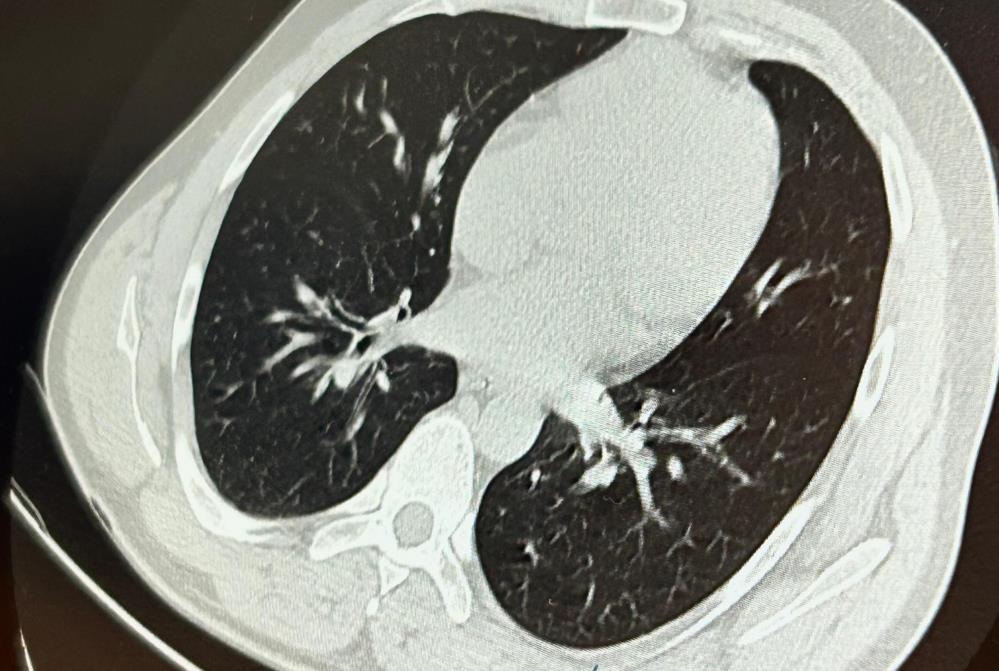
Göğüs Cerrahisi uzmanları Dr. Sadullah Aksoy ve Dr. Beniz İrem Ersoy Şığva tarafından hastaya bronkoskopi işlemi uygulandı. Sol akciğerin üst lobunda saplanmış şekilde tespit edilen vida, vidalı yapısı ve bulunduğu konum nedeniyle güçlükle yerinden oynatılabildi. Yapılan uzun ve titiz müdahale sonrası vida yerinden çıkarılamasa da hasta bir süre sonra geçirdiği öksürükle birlikte implant vidasını midesine gönderdi. Vida, daha sonra doğal yollarla vücuttan atıldı.


Kaynak:İHA

Türkçe karakter kullanılmayan ve büyük harflerle yazılmış yorumlar onaylanmamaktadır.